Dantų rentgeno nuotraukos

Sėkmingas odontologinis gydymas neįsivaizduojamas be tikslios diagnostikos.
Z. Romanovo stomatologijos kabinete pacientų ištyrimui dažnai naudojame rentgenologinius tyrimus. Tai – modernus ir tikslus metodas, leidžiantis išsamiai įvertinti paciento dantų ir burnos audinių būklę, nustatyti ligas dar ankstyvoje stadijoje ir suplanuoti efektyvų gydymą.
Savo gydymą patikėkite mums – Z. Romanovo odontologijos klinikoje Jūsų laukia saugi, patikima ir greita diagnostika bei patyrusių gydytojų komanda!
Z. Romanovo stomatologijos kabinete atliekame
šiuos rentgenologinius tyrimus:
Dantų skaitmeninės rentgenogramos
(Rentgenoviziografija)
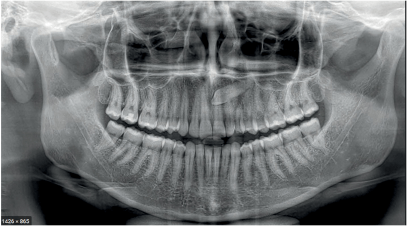
Žandikaulių skaitmeninės rentgeno nuotraukos (Ortopantomogramos)
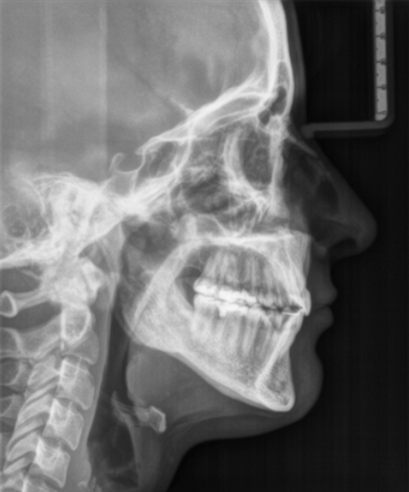
Šoninės galvos skaitmeninės rentgeno nuotraukos (Cefalograma)
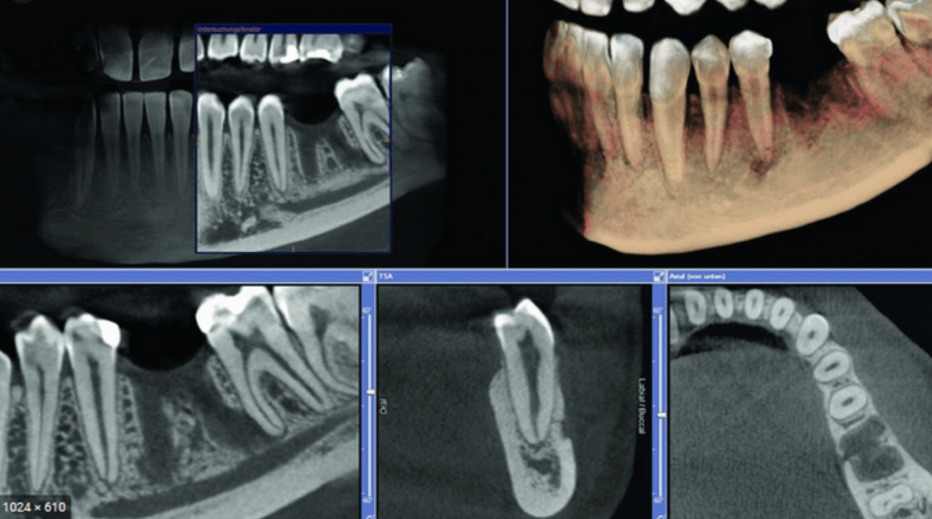
Konusinio pluošto kompiuterinė tomografija (CBCT arba kitaip vadinama 3D)
Rentgenologinių tyrimų rūšys
Atliekame skirtingus tyrimus, todėl pacientams neretai kyla aibė klausimų.
Panagrinėkime šių tyrimų pobūdį, panašumus ir skirtumus:
Dentalinė nuotrauka
Ši nuotrauka atliekama, kai norima įvertinti vieno ar kelių dantų vainikų bei jų šaknų vaizdą. Dentalinė rentgenograma parodo pasirinktos burnos srities būklę: dantų šaknų kanalų anatomiją, šaknų padėtį, apydančio audinių uždegimą,
taip pat – dantyje prasidėjusį ėduonį.
Panoraminė nuotrauka (Ortopantomograma)
Ši nuotrauka apima ne vieną lokalią sritį,
o bendrą viršutinio ir apatinio žandikaulio vaizdą,
todėl yra tinkama planuojant didelės apimties gydymą.
Šoninė galvos rentgeno nuotrauka (Cefalograma)
Tai – speciali nuotrauka, naudojama tik ortodontinio gydymo planavimui ir eigai vertinti. Jos dėka gydytojas ortodontas gali atlikti sudėtingus, didelio tikslumo reikalaujančius matavimus ir taip užtikrinti efektyvų gydymą.
Konusinė (3D) tomografija
Gaunami trimačiai vaizdai, ypač tiksliai atkartojantys dantų ir žandikaulių anatomiją, parodo visus anatominius ypatumus bei uždegiminius procesus, leidžia tiksliau parinkti gydymo taktiką.
Rentgenologinių tyrimų privalumai
Jokio diskomforto
Tyrimas neinvazyvus, todėl nesukelia jokių nemalonių pojūčių nei suaugusiesiems, nei vaikams.
Greitas rezultatas
Tyrimo atsakymai gaunami greitai, todėl gydymą galima pradėti nedelsiant.
Patogus priėjimas
Rentgenas parodo tai,
ką sunku ar net neįmanoma pastebėti plika akimi.
Tikslus gydymo planas
Aiškus pasirinktos srities ar visos burnos vaizdas leidžia suplanuoti ypač tikslų ir veiksmingą gydymą.
Aiškumas
Atlikus tyrimą gaunamas aiškus dantų ar burnos audinių vaizdas, kuris aptariamas su pacientu. Šis pats mato ir vertina savo klinikinę situaciją, tai suteikia aiškumo ir užtikrintumo.
Maksimalus saugumas
Naujos kartos skaitmeniniai tyrimų aparatai nekenkia pacientams: skleidžia tik minimalią rentgeno spinduliuotę, todėl tinka įvairaus amžiaus žmonėms. Atliekant dentalinę rentgeno nuotrauką pacientas gauna vos 0,0045 mSv apšvitą. Palyginimui, vieno skrydžio Vilnius-Londonas metu gaunama 0,025 mSv apšvita, o tai yra net 6 kartus daugiau!
Konusinio pluošto kompiuterinė tomografija (CBCT arba kitaip vadinama 3D)
Rentgenologinio tyrimo eiga:
Vyksta trumpas pasiruošimo procesas – gali tekti nusiimti dalį drabužių, papuošalų ar aksesuarų, jei šie trukdo atlikti tyrimą.
Rentgeno spinduliuotės dėka užfiksuojamas paciento dantų ar burnos vaizdas.
Per labai trumpą laiką (15 s. – 5 min.) gauti rezultatai aptariami su pacientu. Pradedamas gydymas.
Registracija vizitui
Ieškote geriausio sprendimo savo šypsenai? Kviečiame registruotis pirmąjai konsultacijai! Susisiekti galite telefonu: +370 614 44331, arba užpildyti formą apačioje







